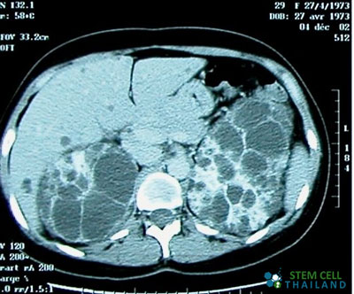
Polycystic kidney disease “PKD” is a medical condition wherein numerous fluid-filled cysts are found to have grown in either or both kidneys. These cysts cause enlargement and, if left untreated, can grow to an abnormal size that can destroy normal kidney structure and affect kidney function that could lead to eventual kidney failure and death
Warning Symptoms of Kidney Disease
The cysts are mostly benign or non-carcinogenic, as most of them are full of bodily fluids or water. However, their sizes could grow larger than the kidney itself because of continual fluid accumulation.

Early Diagnosis is Crucial
Rule #1 of functional medicine is early detection and awareness. It is very important to identify the disease at the very onset because our kidneys are responsible for many vital bodily functions. They are waste filters and are known as the “sweepers,” making them responsible for cleanliness within our body. The filtration process allows for the right nutrients to be absorbed and the rest of the toxic substances to be flushed out of our systems.
Warning Signs and Symptoms of PKD
The most common signs of kidney problems are backaches or side pains, frequent urination, and blood in the urine. These four major symptoms are very characteristic of the disease and should signal your alarm to have yourself checked. The size of the abdomen may also noticeably increase over time.

Other symptoms of congenital Polycystic Kidney Disease are headaches, high blood pressure, and history of urologic diseases, chronic autoimmune glomerulonephritis or conditions such as the presence of kidney stones or urinary tract infections. Although these cystic growths are usually benign most of the time, early diagnosis is crucial to prevent it from progressing rapidly, which would require patients to undergo more tedious medical procedures such as dialysis, stem cell treatments or even kidney transplants.
Treatment for Polycystic Kidney Disease
Stem cell therapy is rapidly gaining acceptance in modern science. Regeneration center was one of the first providers of functional medicine of kidney diseases using a non-surgical alternative to treating the symptoms of polycystic kidney disease. Our multi-stage treatment protocol seeks to reverse kidney damage and restore function with a faster recovery rate and much less risk than kidney transplants. Immune Enriched MSC+ Stem cells to help restore kidney function, repair damage, and have been used effectively to treat numerous diseases and disorders such as:

- Diabetes Type 2, Diabetic Neuropathy and Acute Pancreatitis
- Neurological Conditions such as ALS, Ataxia, Alzheimers, Cerebral Palsy, Brain Injuries, Strokes, Parkinson’s and Motor Neuron Disease
- Orthopedic Knee Injuries, Hip Injuries, and Sports related injuries
- cardiac failure and heart disease
- Lung Diseases such as COPD or IPF
- Liver Disease
- Multiple sclerosis
- Blood disorders such as Thalassemia
- Systemic Lupus Erythematosus
These adult stem cells are programmed with vital nutritive factors that aid in the process of healing damaged tissues by creating an almost new environment that is healthier for tissues and organs to thrive in after disease and/or infections [1]. Clinical trials and medical journals have shown that stem cell transplants are the most effective known alternative treatment solution that does not require surgery. This non-surgical approach allows surrounding healthy tissue to be preserved more effectively.

With stem cell therapy being introduced into the treatment of kidney failure and renal diseases, the aim of the treatment is to greatly reduce and/or eliminate the need for dialysis.[2]
Dialysis requires potent medications to be administered regularly to attempt to heal damaged renal tissues; however, its potency also affects normal, healthy tissues in an adverse way and this is exactly the unnecessary scenario that our stem cell kidney protocol aims to eliminate.
Previous Kidney Regeneration Patients
Treat PKD with Stem Cell Transplants in 2022
Due to the varying degrees of kidney damage and the stages of PKD disease our medical team will need to qualify the potential patients before a detailed treatment protocol can be established. Our initial treatment review can be done online and normally takes around 7 business days to complete. Suitable candidates for the PKD treatment will require a minimum of 12-17 nights in Bangkok. Upon acceptance into the program, a detailed plan will be provided that will include the specifics such as exact total number nights required along with the total medical related costs (excluding accommodations or flights). To get DNA testing for PKD or to begin the qualification process for our MSC+ cell therapy to treat Polycystic Kidney Disease please prepare your recent medical records and contact us today. Learn more about a kidney friendly diet after treatment.
Published Clinical Citations
-
[1] ^ Thatava, Tayaramma, Adam S Armstrong, Josep Genebriera De Lamo, Ramakrishna Edukulla, Yulia Krotova Khan, Toshie Sakuma, Seiga Ohmine, et al. Successful disease-specific induced pluripotent stem cell generation from patients with kidney transplantation. Stem cell research & therapy, no. 6 (December 6). doi:10.1186/scrt89. https://www.ncbi.nlm.nih.gov/pubmed/22142803
-
[2] ^ Ward, Heather H, Elsa Romero, Angela Welford, Gavin Pickett, Robert Bacallao, Vincent H Gattone, Scott A Ness, Angela Wandinger-Ness, and Tamara Roitbak. Adult human CD133/1(+) kidney cells isolated from papilla integrate into developing kidney tubules. Biochimica et biophysica acta, no. 10 (January 19). doi:10.1016/j.bbadis.2011.01.010. https://www.ncbi.nlm.nih.gov/pubmed/21255643

